Historie uśmiechów naszych pacjentów

Zobacz efekty indywidualnie zaplanowanego leczenia w Smile and Care.

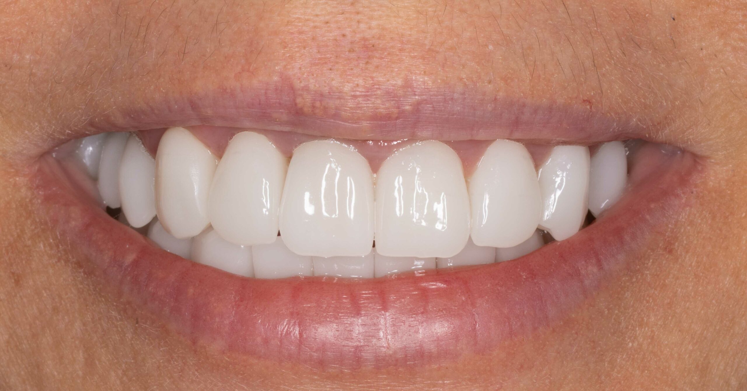
Licówki oraz korony w strefie estetycznej

Poprawa koloru i estetyki zębów po leczeniu kanałowym – 4 licówki ceramiczne

Pacjent zgłosił się z powodu przebarwień zębów powstałych po wcześniejszym leczeniu endodontycznym.

Leczenie obejmowało wykonanie:
• wybielania zębów
• licówek ceramicznych na 4 zębach przednich

Pozwoliło to wyrównać kolor zębów oraz uzyskać naturalny i harmonijny wygląd uśmiechu.

Leczenie przeprowadził lek. dent. Kamil Kikowicz

Kompleksowa odbudowa zgryzu i estetyki uśmiechu – korony, licówki i implant

Pacjentka zgłosiła się z powodu dolegliwości bólowych głowy oraz niezadowolenia z estetyki uśmiechu.

Leczenie obejmowało:
• ponowne leczenie endodontyczne zębów objętych stanem zapalnym
• korektę dziąseł
• podniesienie wysokości zwarcia przy użyciu koron ceramicznych
• implant w pozycji 15
• poprawę estetyki zębów oraz wyrównanie linii pośrodkowej przy użyciu licówek ceramicznych

Kompleksowe leczenie pozwoliło przywrócić prawidłową funkcję zgryzu oraz uzyskać harmonijną estetykę uśmiechu.

Leczenie przeprowadzili lek. stom. Joanna Petrenko, lek. dent. Kamil Kikowicz

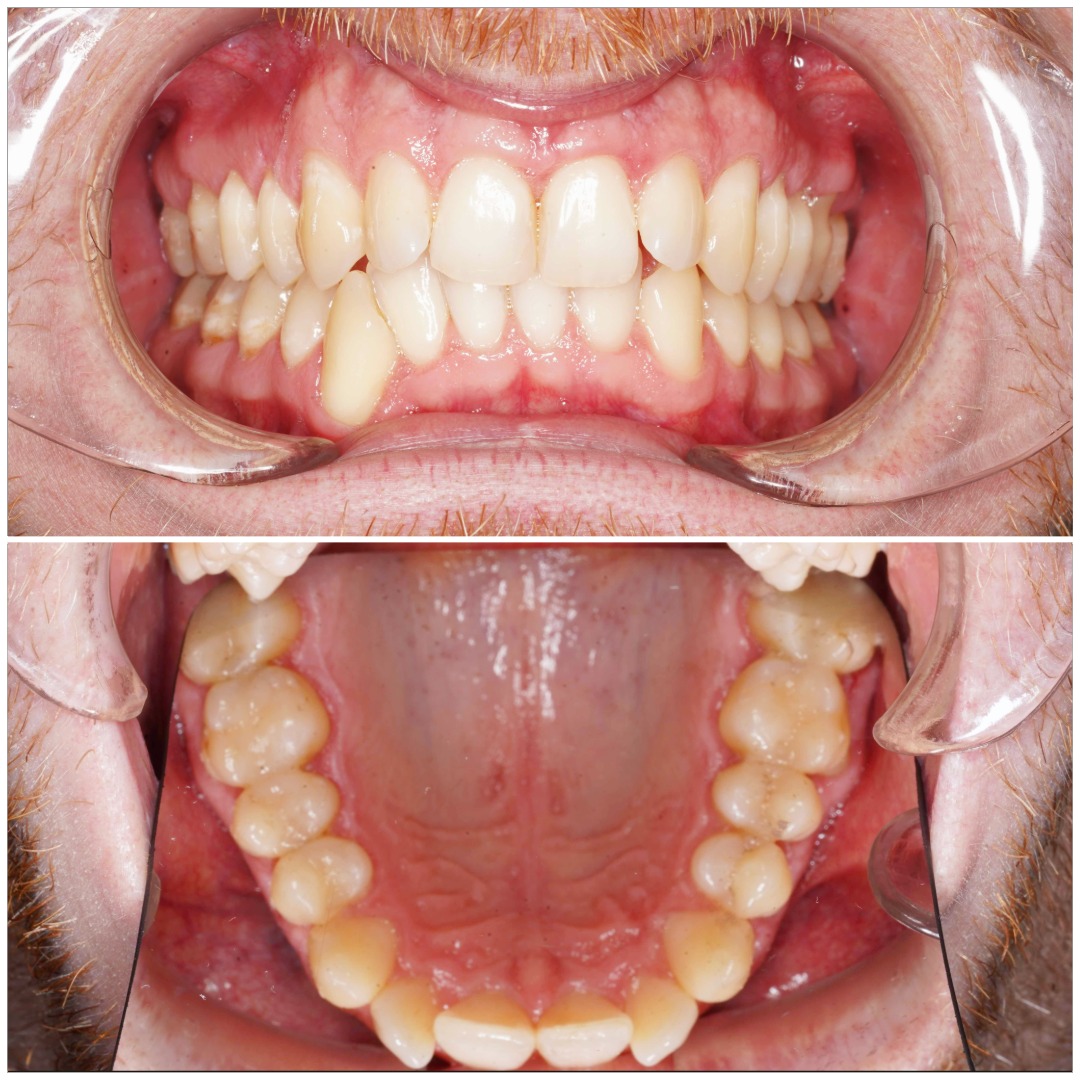
Kompleksowa rehabilitacja zgryzu – pełnołukowa odbudowa na implantach

Pacjentka zgłosiła się z powodu ruchomości zębów oraz braku komfortu podczas jedzenia i uśmiechu.

Po wykonaniu tomografii komputerowej CBCT stwierdzono, że zęby pacjentki nie rokują długoterminowego utrzymania.

Leczenie obejmowało:
• ekstrakcję zębów
• wykonanie pełnołukowej odbudowy protetycznej opartej na implantach

Przeprowadzone leczenie pozwoliło przywrócić stabilny zgryz, komfort żucia oraz estetykę uśmiechu.

Leczenie przeprowadził lek. dent. Kamil Kikowicz

Wymiana mostów protetycznych – przywrócenie naturalnych proporcji uśmiechu

Pacjentka zgłosiła się w celu wymiany mostów protetycznych, które zaburzały proporcje uśmiechu.

Leczenie obejmowało:
• usunięcie poprzednich odbudów protetycznych
• wykonanie mostów ceramicznych odtwarzających prawidłową liczbę oraz proporcje zębów

Nowe odbudowy pozwoliły uzyskać bardziej harmonijny i naturalny wygląd uśmiechu.

Leczenie przeprowadził lek. dent. Kamil Kikowicz

Odbudowa uśmiechu po urazie – most ceramiczny i licówki

U pacjenta w wyniku urazu doszło do resorpcji prawego siekacza przyśrodkowego, co spowodowało konieczność usunięcia zęba.

W celu odtworzenia estetyki uśmiechu wykonano:
• wybielanie zębów
• licówki ceramiczne na kłach
• most ceramiczny odbudowujący cztery siekacze

Zastosowane leczenie pozwoliło przywrócić prawidłową estetykę przedniego odcinka łuku zębowego oraz harmonijny wygląd uśmiechu.

Leczenie przeprowadził lek. dent. Kamil Kikowicz

Wymiana nieszczelnego mostu – nowa odbudowa pełnoceramiczna

Pacjentka zgłosiła się w celu wymiany nieszczelnego mostu protetycznego.

Leczenie obejmowało:
• usunięcie starego mostu
• wykonanie nowej odbudowy pełnoceramicznej

Nowy most pozwolił przywrócić prawidłową szczelność odbudowy oraz poprawić estetykę uśmiechu.

Leczenie przeprowadził lek. dent. Kamil Kikowicz

Licówki ceramiczne na 10 zębach – poprawa estetyki uśmiechu

Pacjentka zgłosiła się w celu poprawy estetyki uśmiechu. Zauważalnym problemem było przebarwienie dziąsła spowodowane obecnością fragmentów metalu w poprzednich odbudowach. Pacjentce zależało na zachowaniu naturalnego charakteru własnych zębów.

Leczenie obejmowało:
• korektę dziąsła wraz z usunięciem przebarwienia
• wykonanie licówek ceramicznych na 10 zębach górnych

Zastosowane leczenie pozwoliło uzyskać naturalny wygląd uśmiechu przy jednoczesnej poprawie koloru i proporcji zębów.

Leczenie przeprowadził lek. dent. Kamil Kikowicz

Leczenie starcia zębów – odbudowa zgryzu koronami i licówkami ceramicznymi

Pacjentka zgłosiła się w celu leczenia starcia zębów.

Leczenie obejmowało:
• korektę zgryzu przy użyciu koron ceramicznych
• poprawę estetyki uśmiechu przy użyciu licówek ceramicznych

Przeprowadzone leczenie pozwoliło przywrócić prawidłową funkcję zgryzu oraz uzyskać naturalną estetykę uśmiechu.

Leczenie przeprowadził lek. dent. Kamil Kikowicz

Wymiana mostu w odcinku przednim – odbudowa brakującego siekacza

Pacjent zgłosił się w celu wymiany mostu na zębach 21 i 23, odtwarzającego brak zęba 22.

Leczenie obejmowało:
• usunięcie poprzedniej odbudowy protetycznej
• chirurgiczną plastykę dziąsła
• wykonanie nowego mostu ceramicznego

Zastosowane leczenie pozwoliło odtworzyć brakujący ząb oraz przywrócić estetykę przedniego odcinka uśmiechu.

Leczenie przeprowadził lek. dent. Kamil Kikowicz

Odbudowa zębów po urazie – leczenie kanałowe i rekonstrukcja ceramiczna

U pacjentki w wyniku wypadku doszło do złamania oraz utraty części zębów.

Leczenie obejmowało:
• leczenie endodontyczne znacznie uszkodzonych zębów
• odbudowę ceramiczną uszkodzonych zębów

Zastosowane leczenie pozwoliło przywrócić funkcję zgryzu oraz poprawić estetykę uśmiechu.

Leczenie przeprowadził lek. dent. Kamil Kikowicz

Trwała odbudowa siekaczy – dwie licówki ceramiczne

Pacjentka zgłosiła się z powodu częstych uszkodzeń kompozytowych odbudów siekaczy przyśrodkowych.

Leczenie obejmowało:
• wykonanie dwóch licówek ceramicznych

Zastosowane leczenie pozwoliło uzyskać trwałą odbudowę zębów oraz poprawić estetykę uśmiechu.

Leczenie przeprowadził lek. dent. Kamil Kikowicz

Poprawa estetyki zębów przednich

Pacjentka zgłosiła się w celu poprawy estetyki uśmiechu. Zależało jej na zaplanowaniu leczenia bez konieczności przeprowadzania korekty ortodontycznej.

Leczenie obejmowało:
• wybielanie zębów
• wykonanie licówek ceramicznych na zębach siecznych

Zastosowane leczenie pozwoliło poprawić kształt i kolor zębów oraz uzyskać harmonijną estetykę uśmiechu.

Leczenie przeprowadził lek. dent. Kamil Kikowicz

Implant i licówki – odbudowa brakującego siekacza bocznego

Pacjentka zgłosiła się z powodu utraty prawego siekacza bocznego.

Leczenie obejmowało:
• wprowadzenie implantu w pozycji 12
• chirurgiczną plastykę dziąsła
• wykonanie pełnoceramicznej korony na implancie oraz licówek na siekaczach przyśrodkowych

Zastosowane leczenie pozwoliło odtworzyć brakujący ząb oraz przywrócić harmonijną estetykę przedniego odcinka uśmiechu.

Leczenie przeprowadził lek. dent. Kamil Kikowicz

Odbudowa złamanego siekacza – korona pełnoceramiczna w jednej wizycie

Pacjent zgłosił się z powodu złamania siekacza spowodowanego urazem.

Leczenie obejmowało:
• wykonanie korony pełnoceramicznej podczas jednej wizyty

Dzięki zastosowanemu leczeniu pacjent już po około godzinie mógł odzyskać pełną estetykę uśmiechu.

Leczenie przeprowadził lek. dent. Kamil Kikowicz

Leczenie zaburzeń zgryzu – korony i licówki ceramiczne

Pacjentka zgłosiła się z powodu dolegliwości bólowych oraz trzasków w stawie skroniowo-żuchwowym.

Leczenie obejmowało:
• korektę zgryzu przy użyciu koron ceramicznych w odcinku bocznym
• poprawę estetyki uśmiechu przy użyciu licówek ceramicznych w odcinku przednim

Przeprowadzone leczenie pozwoliło przywrócić prawidłową funkcję zgryzu oraz poprawić komfort i estetykę uśmiechu.

Leczenie przeprowadził lek. dent. Kamil Kikowicz

Kompleksowa poprawa estetyki uśmiechu – korony i licówki ceramiczne

Pacjentka zgłosiła się w celu poprawy estetyki uśmiechu.

Leczenie obejmowało:
• odbudowę protetyczną zębów w odcinkach bocznych
• wykonanie koron ceramicznych oraz licówek na zębach przednich

Zastosowane leczenie pozwoliło przywrócić prawidłową funkcję zgryzu oraz uzyskać harmonijną estetykę uśmiechu.

Leczenie przeprowadził lek. dent. Kamil Kikowicz

Odbudowa brakujących zębów – implanty i protetyka pełnoceramiczna

Pacjentka zgłosiła się w celu poprawy estetyki uśmiechu oraz uzupełnienia brakujących zębów.

Leczenie obejmowało:
• wprowadzenie implantów w odcinkach bocznych
• wykonanie pełnoceramicznych odbudów na implantach oraz na zębach własnych

Zastosowane leczenie pozwoliło przywrócić prawidłową funkcję żucia oraz poprawić estetykę uśmiechu.

Leczenie przeprowadził lek. dent. Kamil Kikowicz

Poprawa estetyki zębów przednich – 4 licówki ceramiczne

Pacjentka zgłosiła się w celu poprawy estetyki uśmiechu.

Leczenie obejmowało:
• wykonanie licówek ceramicznych na czterech zębach siecznych

Zastosowane leczenie pozwoliło poprawić kształt i kolor zębów oraz uzyskać bardziej harmonijny wygląd uśmiechu.

Leczenie przeprowadził lek. dent. Kamil Kikowicz

Szybka poprawa estetyki zębów przednich – licówki ceramiczne w jednej wizycie

Pacjentka zgłosiła się w celu korekty estetyki siekaczy przyśrodkowych.

Leczenie obejmowało:
• wykonanie licówek ceramicznych podczas jednej wizyty trwającej około 1,5 godziny

Zastosowane leczenie pozwoliło szybko poprawić kształt i estetykę zębów przednich.

Leczenie przeprowadził lek. dent. Kamil Kikowicz

Kompleksowa poprawa estetyki uśmiechu – wybielanie i licówki ceramiczne

Pacjent zgłosił się w celu poprawy estetyki uśmiechu.

Leczenie obejmowało:
• leczenie endodontyczne zębów objętych stanem zapalnym
• wybielanie zębów
• wykonanie licówek ceramicznych na sześciu zębach przednich
• odbudowy kompozytowe zębów dolnych

Zastosowane leczenie pozwoliło poprawić kolor, kształt oraz proporcje zębów, uzyskując harmonijną estetykę uśmiechu.

Leczenie przeprowadził lek. dent. Kamil Kikowicz

Odbudowa brakujących siekaczy – most ceramiczny

Pacjent zgłosił się w celu odbudowy brakujących zębów siecznych.

Leczenie obejmowało:
• wykonanie mostu ceramicznego opartego na zębach siecznych bocznych

Zastosowane leczenie pozwoliło odtworzyć brakujące zęby oraz przywrócić estetykę przedniego odcinka uśmiechu.

Leczenie przeprowadził lek. dent. Kamil Kikowicz

Kompleksowa odbudowa estetyki górnego łuku – korony i licówki ceramiczne

Pacjentka zgłosiła się zaniepokojona stanem zębów siecznych oraz niezadowolona z estetyki swojego uśmiechu.

W przeszłości zęby przednie zostały uszkodzone w wyniku urazu, a wielokrotne odbudowy nie przyniosły satysfakcjonującego efektu estetycznego.

Leczenie obejmowało:
• usunięcie starych koron protetycznych
• korektę preparacji zębów
• wykonanie nowych koron oraz licówek ceramicznych na 10 zębach górnych

Zastosowane leczenie pozwoliło przywrócić prawidłową funkcję zgryzu oraz uzyskać harmonijną estetykę uśmiechu.

Leczenie przeprowadził lek. dent. Kamil Kikowicz

Zmiana odbudowy kompozytowej na licówki ceramiczne

Pacjentka zgłosiła się z powodu problemów z kompozytową odbudową zębów siecznych górnych (tzw. bondingiem). Kompozyt ulegał przebarwieniom oraz wielokrotnie się wykruszał.

Leczenie obejmowało:
• wybielanie zębów
• wymianę odbudów kompozytowych na licówki ceramiczne

Zastosowane leczenie pozwoliło uzyskać trwałą odbudowę zębów oraz naturalną estetykę uśmiechu.

Leczenie przeprowadził lek. dent. Kamil Kikowicz

Implanty

Kompleksowa rehabilitacja protetyczno-implantologiczna

Pacjent zgłosił się z powodu licznych problemów z uzębieniem.

Pacjent skarżył się na:
• dolegliwości bólowe zębów
• trudności podczas jedzenia
• niezadowolenie z estetyki uśmiechu

Leczenie obejmowało:
• usunięcie znacznie zniszczonych zębów
• jednoczasowe wprowadzenie implantów
• wykonanie odbudów ceramicznych na implantach
• odbudowy kompozytowe na zębach własnych poprawiające estetykę uśmiechu

Zastosowane leczenie pozwoliło przywrócić funkcję żucia oraz poprawić estetykę uśmiechu.

Leczenie przeprowadził lek. dent. Kamil Kikowicz

Utrata zębów po urazie – natychmiastowa odbudowa implantologiczna

Młoda pacjentka zgłosiła się z powodu utraty zębów przednich, do której doszło kilka dni wcześniej w wyniku potrącenia przez kierowcę elektrycznej hulajnogi.

Leczenie obejmowało:
• niezwłoczne wprowadzenie implantów zębowych
• wykonanie tymczasowej odbudowy zębów

Dzięki zastosowanemu leczeniu pacjentka jeszcze tego samego dnia mogła odzyskać estetykę uśmiechu.

Wprowadzenie implantów w odcinku przednim stanowi duże wyzwanie kliniczne. Aby uzyskać naturalny wygląd oraz wysoką estetykę, często konieczne jest wykonanie dodatkowych zabiegów regeneracyjnych w obrębie tkanek miękkich i twardych.

Przedstawiony efekt to uśmiech po wykonaniu ostatecznej odbudowy protetycznej.

Leczenie przeprowadził lek. dent. Kamil Kikowicz

Implanty zamiast protezy – odbudowa zębów w odcinkach bocznych

Pacjentka zgłosiła się niezadowolona z użytkowania wyjmowanej protezy.

Leczenie obejmowało:
• wprowadzenie implantów w odcinkach bocznych
• wykonanie odbudów protetycznych w postaci mostów opartych na implantach

Zastosowane leczenie pozwoliło poprawić stabilność uzupełnienia protetycznego oraz znacznie zwiększyć komfort jedzenia.

Leczenie zaplanował i przeprowadził lek. dent. Kamil Kikowicz

Implanty w żuchwie – uzupełnienie brakujących zębów

Pacjentka zgłosiła się w celu uzupełnienia brakujących zębów w żuchwie.

Leczenie obejmowało:
• wprowadzenie dwóch implantów
• po trzymiesięcznym okresie gojenia wykonanie mostów ceramicznych opartych na implantach

Zastosowane leczenie pozwoliło przywrócić prawidłową funkcję żucia oraz poprawić komfort użytkowania uzębienia.

Leczenie zaplanował i przeprowadził lek. dent. Kamil Kikowicz

Implanty w odcinkach bocznych – odbudowa stref podparcia

Pacjent zgłosił się z powodu trudności w jedzeniu wynikających z braku zębów w odcinkach bocznych.

Leczenie obejmowało:
• wprowadzenie pięciu implantów – trzech w szczęce oraz dwóch w żuchwie
• usunięcie ruchomego zęba 15
• po trzymiesięcznym okresie gojenia wykonanie mostów ceramicznych opartych na implantach

Zastosowane leczenie pozwoliło odbudować strefy podparcia zgryzu oraz znacząco poprawić komfort jedzenia.

Leczenie zaplanował i przeprowadził lek. dent. Kamil Kikowicz

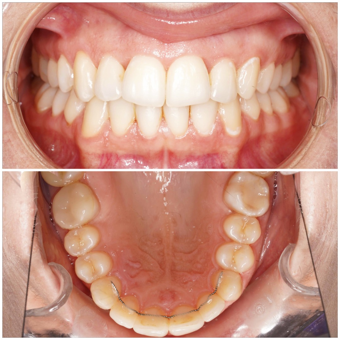
Kompleksowa rehabilitacja uśmiechu – implanty, leczenie endodontyczne i licówki

Pacjentka zgłosiła się w celu kompleksowego leczenia przywracającego prawidłową funkcję zgryzu oraz poprawiającego estetykę uśmiechu.

Leczenie obejmowało:
• leczenie endodontyczne zębów objętych zmianami zapalnymi
• wprowadzenie implantów w miejscach utraconych zębów
• wykonanie koron oraz licówek ceramicznych na zębach własnych

Zastosowane leczenie pozwoliło przywrócić prawidłową funkcję żucia oraz uzyskać harmonijną estetykę uśmiechu.

Leczenie przeprowadził lek. dent. Kamil Kikowicz

Odbudowa implantu 12 i estetyczna korekta siekaczy licówkami

Pacjent zgłosił się w trakcie leczenia rozpoczętego w innej klinice, którego nie mógł dokończyć z powodu zmiany miejsca zamieszkania. W poprzednim ośrodku wprowadzono implant w pozycji 12.

Leczenie w naszej klinice obejmowało:
• odbudowę protetyczną implantu w pozycji 12
• wykonanie licówek ceramicznych na pozostałych zębach siecznych

Zastosowane leczenie pozwoliło przywrócić estetykę przedniego odcinka uśmiechu oraz uzyskać harmonijny wygląd zębów.

Leczenie przeprowadził lek. dent. Kamil Kikowicz

Naturalna odbudowa zęba 14 – implant i korona ceramiczna

Pacjentka zgłosiła się w celu uzupełnienia brakującego zęba 14.

Leczenie obejmowało:
• wprowadzenie implantu w miejscu brakującego zęba
• po trzymiesięcznym okresie gojenia wykonanie korony ceramicznej na łączniku indywidualnym

Zastosowane leczenie pozwoliło odtworzyć brakujący ząb oraz przywrócić prawidłową funkcję żucia i estetykę uśmiechu.

Leczenie przeprowadził lek. dent. Kamil Kikowicz

Uszkodzenie implantu po urazie sportowym – nowa odbudowa protetyczna

Pacjent zgłosił się z powodu ruchomości korony na implancie w pozycji 12.

W wyniku urazu podczas uprawiania sportu doszło do złamania łącznika cyrkonowego.

Leczenie obejmowało:
• wykonanie nowej odbudowy protetycznej
• zastosowanie korony cyrkonowej na indywidualnym łączniku tytanowym z powłoką złota

Zastosowane rozwiązanie zwiększa wytrzymałość odbudowy oraz zmniejsza ryzyko podobnych powikłań w przyszłości.

Leczenie przeprowadził lek. dent. Kamil Kikowicz

Odbudowa zębów w odcinku bocznym szczęki – implanty i korony cyrkonowe

Pacjent zgłosił się w celu odbudowy brakujących zębów w odcinku bocznym szczęki.

Leczenie obejmowało:
• ekstrakcję znacznie zniszczonych korzeni zębów, które nie nadawały się do odbudowy
• natychmiastowe wprowadzenie implantów
• po trzymiesięcznym okresie gojenia wykonanie koron cyrkonowych na łącznikach indywidualnych

Zastosowane leczenie pozwoliło przywrócić funkcję żucia oraz odbudować prawidłową estetykę uzębienia.

Leczenie przeprowadził lek. dent. Kamil Kikowicz

Poprawa estetyki uśmiechu – licówki i nowa odbudowa implantu 22

Pacjentka zgłosiła się w celu poprawy estetyki uśmiechu. Implant w pozycji 22 został wprowadzony około 20 lat wcześniej.

Leczenie obejmowało:
• wykonanie licówek ceramicznych na dziewięciu zębach górnych
• wymianę łącznika na implancie w pozycji 22 na łącznik indywidualny
• wykonanie nowej korony ceramicznej na implancie

Zastosowane leczenie pozwoliło uzyskać harmonijną estetykę zębów przednich. Odbudowa implantu jest w pełni zintegrowana z uśmiechem i nie różni się wyglądem od naturalnych zębów.

Leczenie przeprowadził lek. dent. Kamil Kikowicz

Prace pełnołukowe all on-4 all on-x

Pełnołukowa odbudowa na implantach – naturalny uśmiech bez sztucznego dziąsła

Pacjentka zgłosiła się z powodu ruchomości zębów oraz braku komfortu podczas jedzenia i uśmiechu.

Po wykonaniu tomografii komputerowej CBCT stwierdzono, że zęby pacjentki nie rokują długoterminowego utrzymania.

Leczenie obejmowało:
• ekstrakcję zębów
• natychmiastowe wprowadzenie implantów
• wykonanie tymczasowej odbudowy protetycznej w dniu zabiegu
• następnie wykonanie ostatecznej pełnołukowej odbudowy protetycznej na implantach

Dzięki odpowiedniemu planowaniu implantologicznemu możliwe było wykonanie odbudowy bez sztucznej części dziąsłowej, co pozwoliło uzyskać bardzo naturalny wygląd zębów oraz stabilny i funkcjonalny zgryz.

Leczenie przeprowadził lek. dent. Kamil Kikowiczusuniecie zębów wprowadzenie implantów

Rehabilitacja zwarcia – pełnołukowa odbudowa na 6 implantach

Pacjentka zgłosiła się do naszego gabinetu z powodu dolegliwości bólowych zębów oraz niezadowolenia z estetyki uśmiechu.

Zęby, ze względu na zaawansowaną chorobę przyzębia, zostały zakwalifikowane do ekstrakcji.

Leczenie obejmowało:
• usunięcie zębów górnego łuku
• wprowadzenie 6 implantów podczas jednej wizyty
• wykonanie pełnołukowej odbudowy protetycznej w postaci mostu cyrkonowego odtwarzającego 14 zębów

Zastosowane leczenie pozwoliło przywrócić prawidłową funkcję zgryzu oraz estetykę uśmiechu.

Przedstawione zdjęcia wykonano po rehabilitacji górnego łuku. Pacjentka jest obecnie w trakcie leczenia zębów żuchwy.

Leczenie zaplanował i przeprowadził lek. dent. Kamil Kikowicz

Pełna rehabilitacja zgryzu na implantach

Pacjentka zgłosiła się z powodu dolegliwości bólowych zębów, trzasków w stawach skroniowo-żuchwowych oraz bólów głowy. Objawy były spowodowane złym stanem uzębienia, licznymi brakami zębowymi oraz zmianami zapalnymi. Dodatkowo występowało przeciążenie mięśni narządu żucia.

Leczenie obejmowało:
• usunięcie zębów szczęki oraz natychmiastowe wprowadzenie 6 implantów
• wykonanie tymczasowej odbudowy protetycznej
• w kolejnym etapie analogiczne leczenie w żuchwie

Po trzymiesięcznym okresie gojenia przeprowadzono korektę zgryzu oraz ustalono prawidłową pozycję żuchwy.

Ostateczna odbudowa została wykonana w postaci:
• mostu cyrkonowego opartego na belce tytanowej w szczęce
• odbudowy kompozytowej opartej na belce tytanowej w żuchwie

Zastosowane leczenie pozwoliło przywrócić prawidłową funkcję zgryzu, zmniejszyć dolegliwości bólowe oraz poprawić estetykę uśmiechu.

Leczenie przeprowadził lek. dent. Kamil Kikowicz

Rehabilitacja implantologiczna all on 6

Pacjent zgłosił się z powodu licznych problemów z zębami oraz dolegliwości bólowych głowy. Zęby z powodu znacznej ruchomości nie stanowiły odpowiedniej podpory podczas żucia. Niestety wieloletniej terapia periodontologiczna choroby przyzębia nie przynosiła efektów. Zęby zostały zakwalifikowane do usunięcia. Nowy zgryz został odtworzony i oparty na 6 implantach w szczęce oraz 5 w żuchwie. Informacje z badania stawowe "kondylografii" pomogły zaplanować nowe prawidłowe zwarcie. Poza wyleczeniem dolegliwośći bólowych głowy oraz przywróceniu komfortu żucia i uśmiechu, Pacjent po zakończonej terapii zgłasza znaczne ograniczenie chrapania.
leczenie zaplanował oraz przeprowadził lek. dent Kamil Kikowicz

Ortodoncja

Kortykotomia w leczeniu ortodontycznym

Pacjentka została skierowana na konsultację ortodontyczną przez lekarz prowadzącego

W przeprowadzonym badaniu stwierdzono zwężenie górnego łuku zębowego, prowadzące do stłoczeń zębów oraz występowania zgryzu
krzyżowego. Dodatkowo zauważono zaburzoną linię uśmiechu: podczas uśmiechu górne zęby były nadmiernie przysłonięte przez górną wargę.

Leczenia obejmowało: leczenie aparatem stałym w celu korekty stłoczeń i rotacji zębów, zabieg kortykotomii, który pozwolił zwiększyć efektywność leczenia ortodontycznego, w tym przypadku szczególny nacisk położono na poprawę kształtu oraz poszerzenie górnego łuku zębowego. Dzięki połączeniu leczenia ortodontycznego z chirurgicznym uzyskano wyraźną poprawę kształtu łuku zębowego, jego nieznaczne poszerzenie, korektę stłoczeń i rotacji zębów oraz harmonizację linii uśmiechu. Leczenie zaplanowała i przeprowadziła

lek. dent. Agata Płusa

Ból zębów przednich spowodowany wadą zgryzu – leczenie ortodontyczne

Pacjentka zgłosiła się do gabinetu z dolegliwościami bólowymi zębów przednich.

W wyniku przeprowadzonej diagnostyki stwierdzono, że przyczyną nie była próchnica, lecz zgryz urazowy. Analiza wykazała nadmierne pochylenie górnych siekaczy w kierunku zębów dolnych, co powodowało ich przeciążenie.

Leczenie obejmowało:
• leczenie ortodontyczne mające na celu korektę ustawienia zębów oraz eliminację przeciążeń zgryzowych

Zastosowane leczenie pozwoliło wyeliminować dolegliwości bólowe oraz poprawić funkcję zgryzu i estetykę uśmiechu.

Leczenie zaplanowała i przeprowadziła

lek. dent. Agata Płusa

Korekta stłoczeń zębów - wraz z leczenim recesji

Pacjent zgłosił się na konsultację ortodontyczną z chęcią poprawy estetyki uśmiechu.

Podczas badania stwierdzono rotacje oraz znaczne stłoczenia zębów, szczególnie w dolnym łuku. Dodatkowo u pacjenta występowały już recesje dziąseł.

Leczenie obejmowało: - leczenie aparatem stałym w celu korekty stłoczeń i rotacji zębów, - zabieg kortykotomii, który pozwolił zwiększyć efektywność leczenia ortodontycznego; w tym przypadku kluczowe było uniknięcie nasilenia recesji dziąseł.

Dzięki połączeniu leczenia ortodontycznego z chirurgicznym udało się skutecznie skorygować znaczne stłoczenia zębów, a jednocześnie nie zaobserwowano pogorszenia stanu dziąseł po zakończeniu terapii.

lek. dent. Agata Płusa

Poszerzenie szczęki aparatem stałym opartym na miniimplantach podniebiennych

Pacjent zgłosił się z powodu wady zgryzu wymagającej poszerzenia szczęki.

Leczenie obejmowało:
• zastosowanie aparatu stałego do poszerzenia szczęki
• zakotwiczenie aparatu na miniimplantach podniebiennych

Zastosowana metoda pozwala na skuteczne i kontrolowane poszerzenie szczęki oraz poprawę warunków zgryzowych przed dalszym leczeniem ortodontycznym.

Leczenie zaplanowała i przeprowadziła lek. dent. Agata Płusa

Higiena

Usunięcie przebarwień – piaskowanie

Pacjent zgłosił się w celu poprawy estetyki uśmiechu. Problemem były widoczne przebarwienia zębów spowodowane osadami z kawy i herbaty. Leczenie obejmowało: • piaskowanie (airflow) • polerowanie powierzchni zębów Zastosowane leczenie pozwoliło usunąć przebarwienia oraz przywrócić naturalny kolor zębów i świeżość uśmiechu.

dyp. hig. Kinga Cebula

Usunięcie złogów nazębnych i zapalenia dziąseł

Pacjent zgłosił się z powodu krwawienia dziąseł oraz obecności znacznych złogów kamienia nazębnego. Leczenie obejmowało: • skaling ultradźwiękowy • oczyszczenie przestrzeni przydziąsłowych • polerowanie powierzchni zębów Przeprowadzone leczenie pozwoliło usunąć złogi nazębne, zmniejszyć stan zapalny dziąseł oraz poprawić komfort i higienę jamy ustnej.

dyp. hig. Kinga Cebula

Chcesz wiedzieć więcej?

Zadzwoń! 690 312 720

Kontakt

Centrum Medyczne Smile and Care
ul. Cybernetyki 6a BU2
e-mail: pomoc@smileandcare.pl
02-677 Warszawa
NIP 5213934858
Regon 38953469700014

Godziny otwarcia:

Poniedziałek: 09:00-20:00
Wtorek: 09:00-20:00
Środa: 09:00-20:00
Czwartek: 09:00-20:00
Piątek: 09:00-20:00
Sobota: 09:00-14:00