Zobacz efekty leczenia u naszych pacjentów.

Uśmiech to najpiękniejsza ozdoba twarzy.
W Smile and Care przywracamy go z dbałością o każdy detal – naturalnie, estetycznie, komfortowo.
Dzięki kompleksowej opiece odzyskasz nie tylko pełną funkcjonalność, ale też pewność siebie, która promieniuje z wnętrza. Subtelne piękno, indywidualne podejście i efekt, który nie tylko widać – ale się czuje.
Bo wiesz, co naprawdę podkreśla Twoją urodę? Uśmiech. I to ten Twój, na nowo.

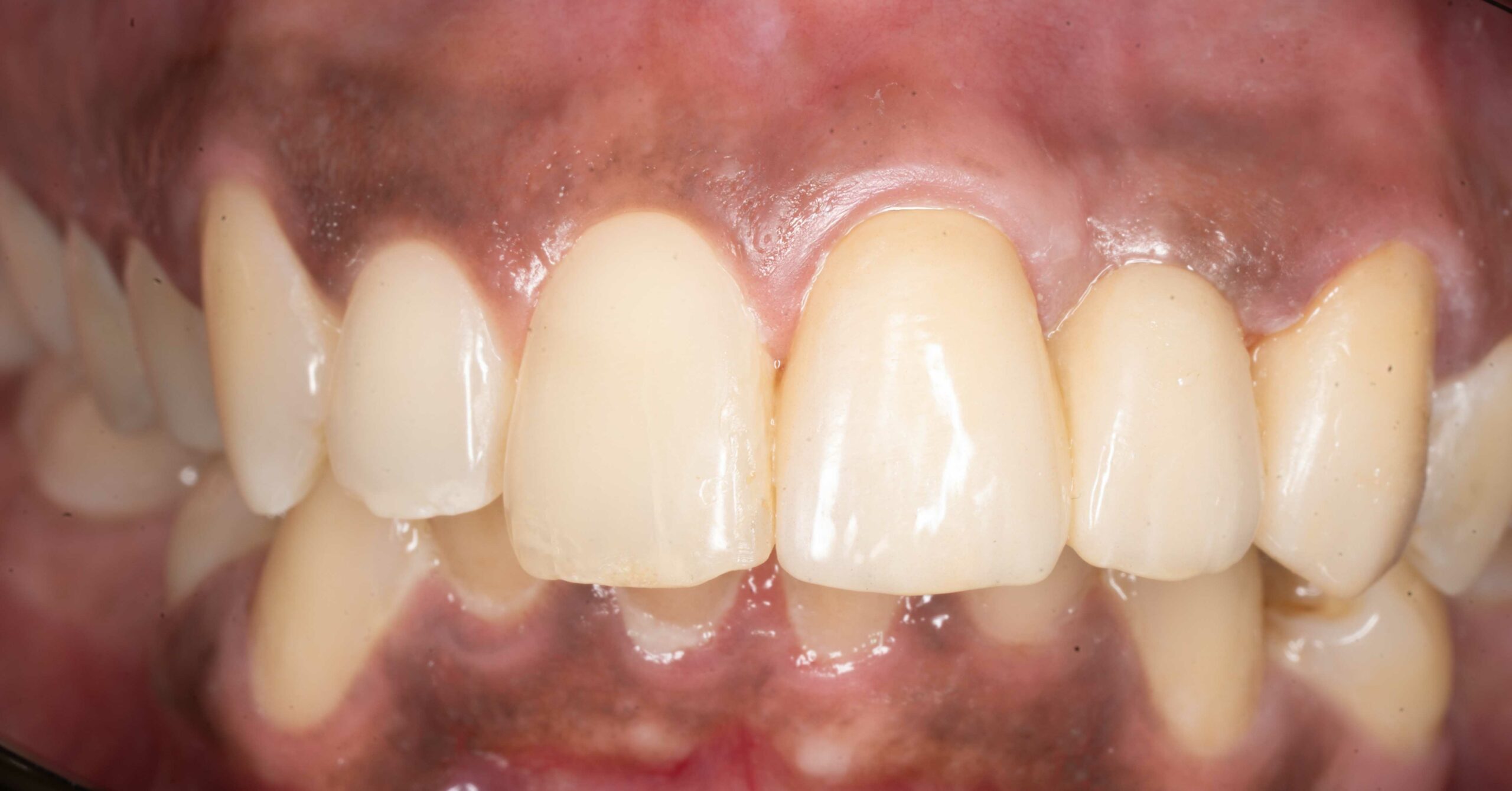
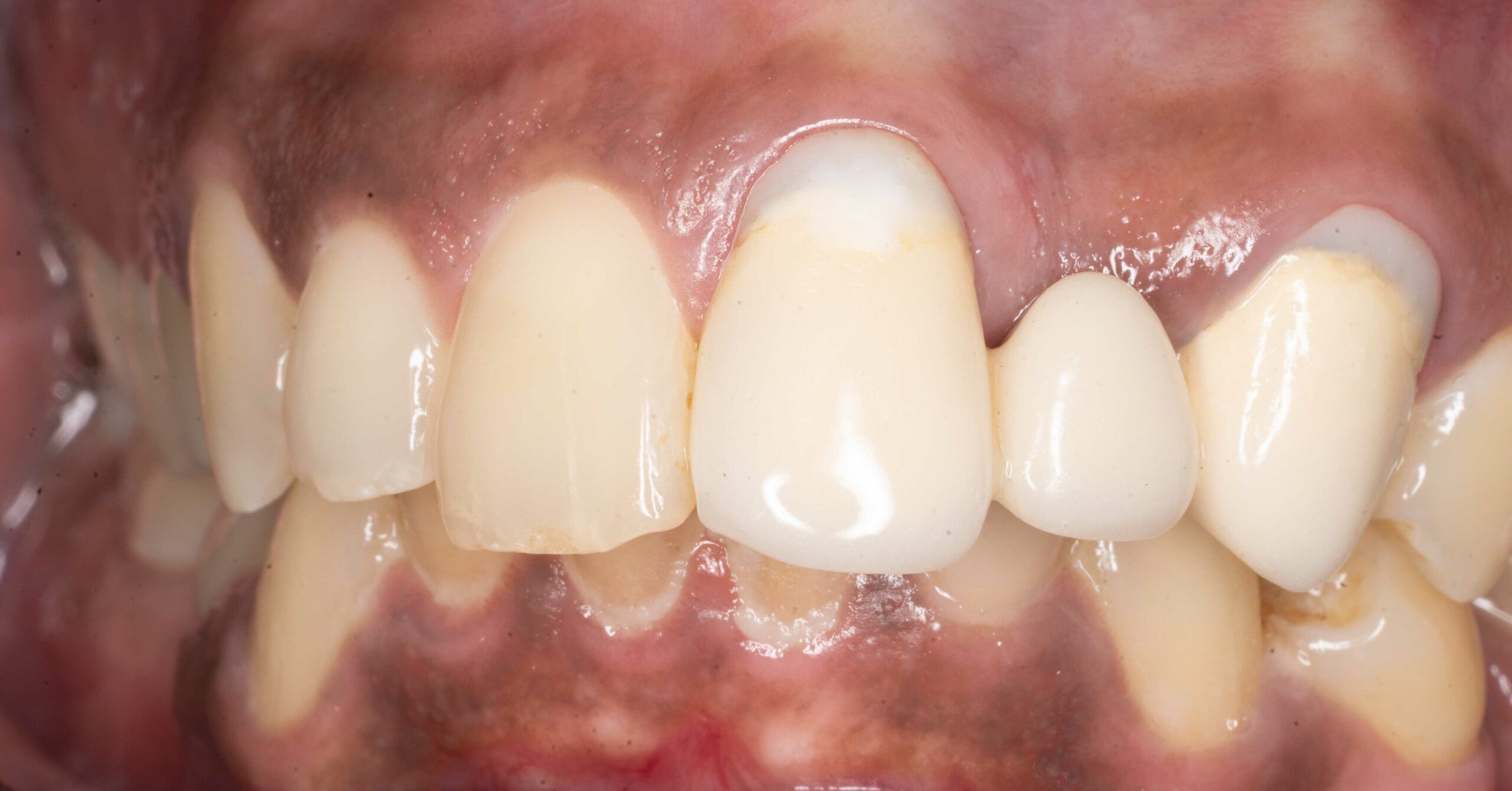
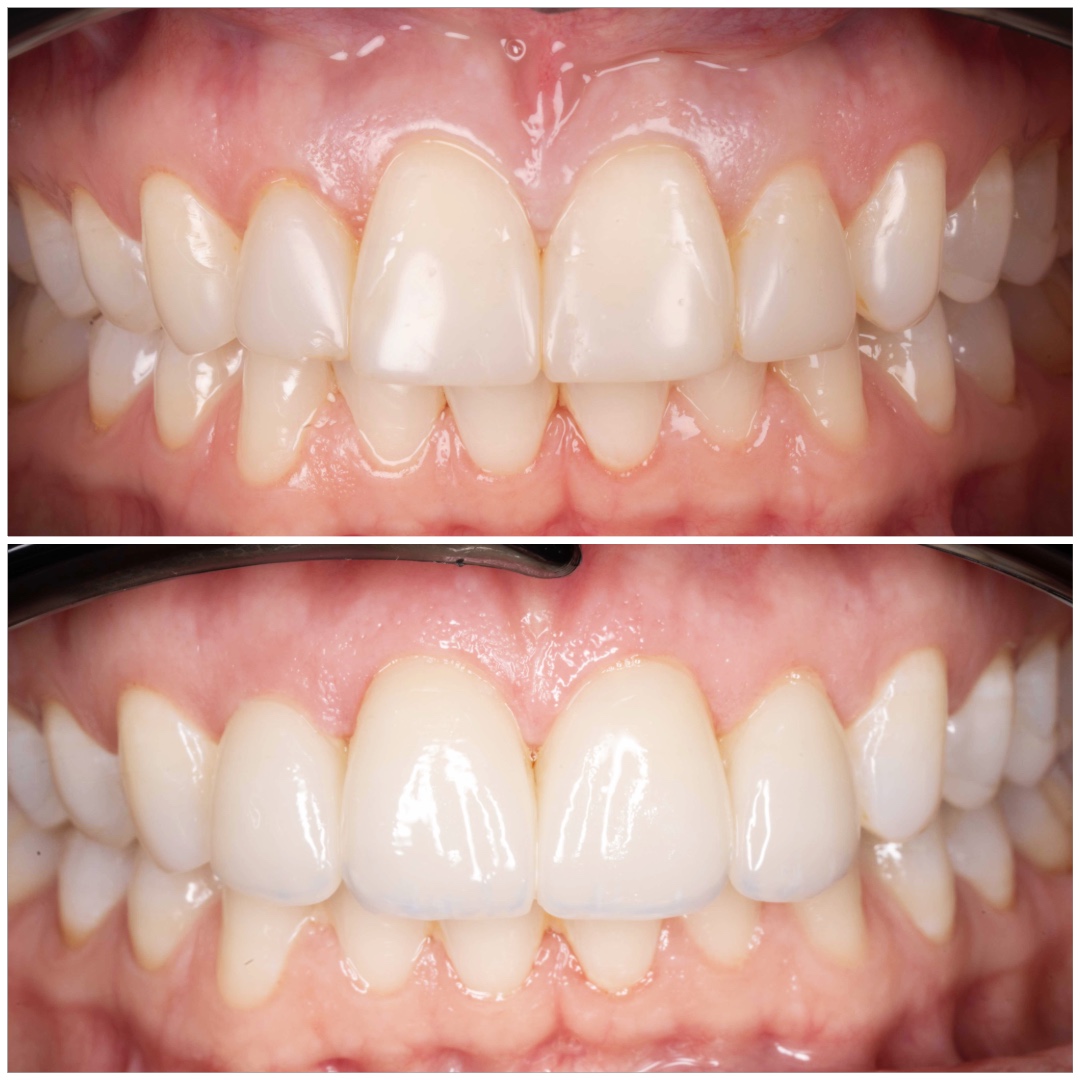
Licówki oraz korony w strefie estetycznej

Licówki na 4 przednie zęby

Pacjent zgłosił się z powodu przebarwień zębów po leczeniu endodontycznym

Leczenie obejmowało wykonanie:
- wybielanie
- licówek ceramiczne na 4 przednich zębach

Leczenie przeprowadził lek. dent. Kamil Kikowicz

Całkowita rehabilitacja funkcjonalno estetyczna

Pacjentka zgłosiła się z powodu dolegliwości bólowych głowy oraz niezadowolenia z uśmiechu.

Leczeni obejmowało:
- ponowne leczenie endodontyczne zębów z stanem zapalnym
- korektę dziąseł
- podniesie wysokości zwarcia na koronach ceramicznych
- implant w pozycji 15
- poprawę estetyki zębów oraz wyrównanie lini pośrodkowej licówkami ceramicznymi

Leczenie przeprowadzili lek. stom. Joanna Petrenko, lek. dent. Kamil Kikowicz

Wymiana mostów

Pacjentka zgłosiła się w celu wymiany mostów zaburzających proporcje uśmiechu.

U Pacjentki wykonano:
- usunięcie poprzedniej odbudowy
- mosty ceramiczne odtwarzające prawidłową ilość i proporcję zębów

Leczenie przeprowadził lek. dent. Kamil Kikowicz

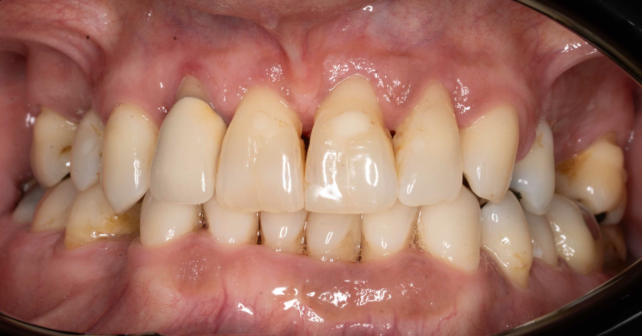
Poprawa estetyku uśmiechu

U Pacjenta z powodu urazu doszło do resorpcji środkowego prawego siekacza. Doszło do konieczności usunięca zęba.

W celu odtworzenia uśmiechu u Pacjenta wykonano:
- wybielanie
- licówki ceramiczne na kłach
- most ceramiczny na 4 siekaczach

Leczenie przeprowadził lek. dent. Kamil Kikowicz

Wymiana starego mostu

Pacjentka zgłosiła się w celu wymiany nieszczelnego mostu.

Leczenie obejmowało :
- usunięcie starego mostu, oraz wymianę na nowy pełnoceramiczny

Leczenie przeprowadził lek. dent. Kamil Kikowicz

Licówki na 10 zębach górnych

Pacjentka zgłosiła się w celu poprawy estetyki uśmiechu. Zauważalnym problemem było przebarwienie dziąsła spowodowane fragmentami metalu. Pacjentka chciała zachować charakter własnych zębow

U Pacjentki wykonano:
- korektę dziąsła wraz z usunięciem przebarwienia
- licówki ceramiczne na zębach górnych

Leczenie przeprowadził lek. dent. Kamil Kikowicz

Rehabilitacja funkcjonalno estetyczna

Pacjentka zgłosiła się w celu leczenia starcia zębów.

Leczenie obejmowało:
- korektę zgryzu koronami ceramicznymi
- poprawę estetyku licówkami ceramicznymi

Leczenie przeprowadził lek. dent. Kamil Kikowicz

Wymiana mostu

Pacjent zgłosił się w celu wymiany mostu na zębach 21 23 odtwarzającego brak zęba 22.

Leczenie obejmowało:
- usunięcie poprzedniej odbudowy
chirurgiczną plastykę dziąsła
- wykonanie nowego ceramicznego mostu

Leczenie przeprowadził lek. dent. Kamil Kikowicz

Rehabilitacja po urazie

U Pacjentki z powodu wypadku doszło do połamania oraz utraty części zębów.

Leczenie obejmowało:
- leczenie endodontyczne mocno uszkodzonych zębów
- odbudowę ceramiczną uszkodzonych zębów

Leczenie przeprowadził lek. dent. Kamil Kikowicz

Korekta estetyki siekaczy przyśrodkowych

Pacjentka zgłosiła się z powodu częstych uszkodzeń odbudowy kompozytowej siekaczy.

Leczenie obejmowało:
- wykonanie dwóch licówek ceramicznych

Leczenie przeprowadził lek. dent. Kamil Kikowicz

Korekta kształtu zębów siecznych

Pacjentka zgłosiła się w celu poprawy estetyku uśmiechu. Pacjentka prosiła o zaplanowanie leczenia bez konieczności wykonywania korekty ortodontycznej.

Leczenie obejmowało:
- wybielanie
- wykonanie licówek ceramicznych na zęby sieczne

Leczenie przeprowadził lek. dent. Kamil Kikowicz

Odbudowa braku oraz korekta estetyki

Pacjentka zgłosiła się z powodu utraty siekacza bocznego prawego.

Leczenie obejmowało:
- wprowadzenie implantu w pozycji 12
- chirurgiczną plastykę dziąsła
- pełnoceramiczne korony na implancie oraz licówki na siekaczach środkowych

Leczenie przeprowadził lek. dent. Kamil Kikowicz

Złamanie siekacza

Pacjent zgłosił się do nas z powodu złamania zęba spowodowane urazem.
Wykonano koronę pełnoceramiczną podczas jednej wizyty dzięki czemu Pacjent po 1 godzinie mógł cieszyć się pełnym uśmiechem.

Leczenie przeprowadził lek. dent. Kamil Kikowicz

Rehabilitacja protetyczna

Pacjentka zgłosiła się z powodu dolegliwości bólowych oraz trzasków w stawie skroniowo żuchwowym.

Leczenie obejmowało:
- korektę zgryzu koronami ceramicznymi w odcinku bocznym
- licówki ceramiczne w odcinku przednim

Leczenie przeprowadził lek. dent. Kamil Kikowicz

Korekta estetyku uśmiechu

Pacjentka zgłosiła się w celu poprawy estetyku uśmiechu.

Leczenie obejmowało:
- odbudowę protetyczną odcinków bocznych
- korony ceramiczne oraz licówki na zębach przednich

Leczenie przeprowadził lek. dent. Kamil Kikowicz

Rehabilitacja funkcjonalno estetyczna

Pacjentka zgłosiła się w celu poprawy estetyki oraz uzupełnienia brakujących zębów

Leczenie obejmowało:
wprowadzenie implantów w odcinkach bocznych
- pełnoceramiczne odbudowy implantów oraz zębów

Leczenie przeprowadził lek. dent. Kamil Kikowicz

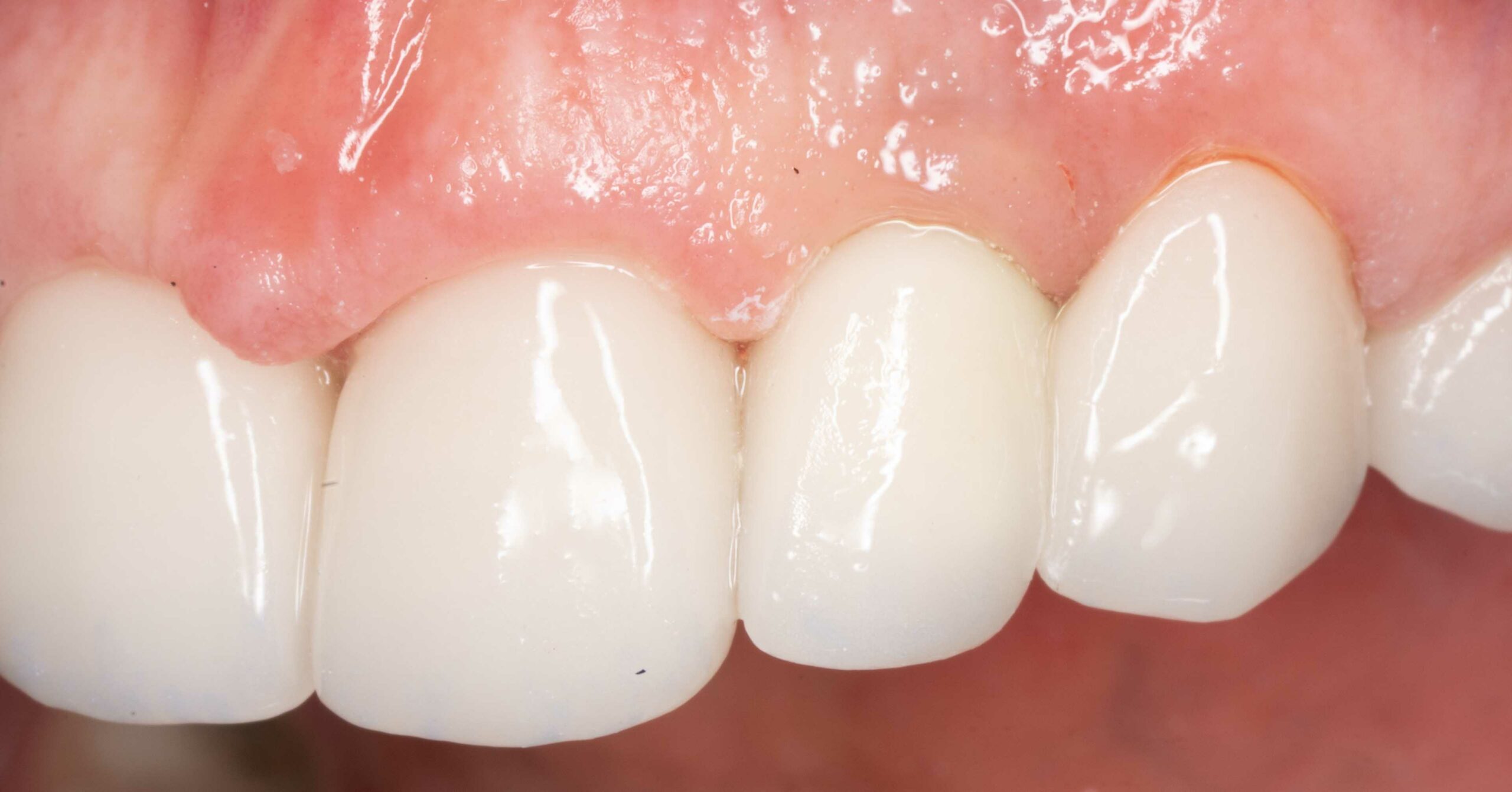
Licówki na 4 siekaczach

Pacjentka zgłosiła się z celu poprawy estetyku uśmiech.

Leczenie obejmowało:
- wykonanie licówek na zębach siecznych

Leczenie przeprowadził lek. dent. Kamil Kikowicz

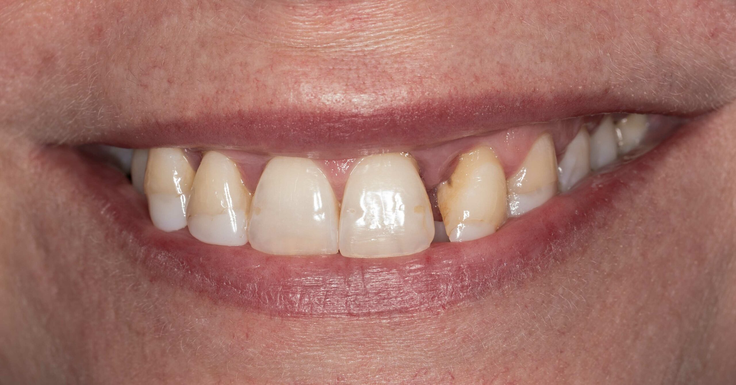
Odbudowa siekaczy środkowych

Pacjentka zgłosiła się w celu korekty estetyku siekaczy przyśrodkowych.

Leczenie obejmowało:
- wykonanie licówek ceramicznych podczas jednej 1,5 godzinnej wizyty

Leczenie przeprowadził lek. dent. Kamil Kikowicz

Korekta estetyki uśmiechu

Pacjent zgłosił się w celu poprawy estetyki uśmiechu.

Leczenie obejmowało:
- leczenie endodontyczne zębów z stanem zapalnym
- wybielanie
- licówki ceramiczne na 6 zębach przednich
- odbudowy kompozytowe zębów dolnych

Leczenie przeprowadził lek. dent. Kamil Kikowicz

Odbudowa brakujących zębów

Pacjent zgłosił się z w celu odbudowy brakujących zębów siecznych.

Leczenie obejmowało:
- wykonanie mostu ceramicznego opartego na zębach siecznych bocznych

Leczenie przeprowadził lek. dent. Kamil Kikowicz

Implanty

Przypadek 1

Pacjent zgłosił się z powodu licznych problemów z zębami oraz dolegliwości bólowych głowy. Zęby z powodu znacznej ruchomości nie stanowiły odpowiedniej podpory podczas żucia. Niestety wieloletniej terapia periodontologiczna choroby przyzębia nie przynosiła efektów. Zęby zostały zakwalifikowane do usunięcia. Nowy zgryz został odtworzony i oparty na 6 implantach w szczęce oraz 5 w żuchwie. Informacje z badania stawowe "kondylografii" pomogły zaplanować nowe prawidłowe zwarcie. Poza wyleczeniem dolegliwośći bólowych głowy oraz przywróceniu komfortu żucia i uśmiechu, Pacjent po zakończonej terapii zgłasza znaczne ograniczenie chrapania.
leczenie zaplanował oraz przeprowadził lek. dent Kamil Kikowicz

utrata zęba po urazie

Nasi pacjenci mogą liczyć na niezwłoczną oraz profesjonalna pomoc w każdej, nawet najbardziej stresującej sytuacji. Młoda pacjentka zgłosiła się z powodu utraty zębów przednich, do czego doszło kilka dni wcześnej, w wyniku potracenia przez kierowce elektrycznej hulajnogi. Leczenie polegato na niezwtocznym wprowadzeniu implantów zebowych oraz tymczasowej odbudowie zebów, dzieki czemu pacjentka jeszcze tego samego dnia odzyskata peten usmiech. Wprowadzenie implantów w odcinku przednim stanowi niezwykte wyzwanie. Aby osiagnac naturalny wyglad oraz wysoka estetyke czesto wymaga dodatkowych zabiegów regeneracyjnych na okolicznych tkankach miekkich oraz twardych. Przedstawiony efekt to uśmiech po wykonaniu ostatecznej odbudowy protetycznej.

Prace pełnołukowe all on-4 all on-x

Ortodoncja

Przeciążenie zębów z powodu wady zgryzu

Pacjentka zgłosiła się do gabinetu z dolegliwościami bólowymi dotyczącymi zębów przednich. W wyniku przeprowadzonej diagnostyki stwierdzono, że przyczyną nie była próchnica, lecz zgryz urazowy. Analiza wykazała nadmierne pochylenie górnych siekaczy w kierunku zębów dolnych, co powodowało ich przeciążenie.
W celu wyeliminowania źródła problemu wdrożono leczenie ortodontyczne. Plan terapii opracowała lek. dent. Agata Płusa. Zastosowane postępowanie pozwoliło na zniesienie przeciążeń zgryzowych oraz poprawę estetyki uśmiechu pacjentki.

Poszerzenie szczęki

Poszerzenie szczęki aparatem stałym przykręcanym do tymczasowych implantów

Higiena

Chcesz wiedzieć więcej?

Zadzwoń! 690 312 720

Kontakt

Centrum Medyczne Smile and Care
ul. Cybernetyki 6a BU2
e-mail: pomoc@smileandcare.pl
02-677 Warszawa
NIP 5213934858
Regon 38953469700014

Godziny otwarcia:

Poniedziałek: 09:00-20:00
Wtorek: 09:00-20:00
Środa: 09:00-20:00
Czwartek: 09:00-20:00
Piątek: 09:00-20:00
Sobota: 09:00-14:00